The Perio BootcampÂ
Perio-Bootcamp for Dentists
Â
Morning session:
Atraumatic Extraction with Concomitant Optimization of the Hard & Soft Tissues Around Dental Implants, for the General Dentist Â
Â
Course Summary:
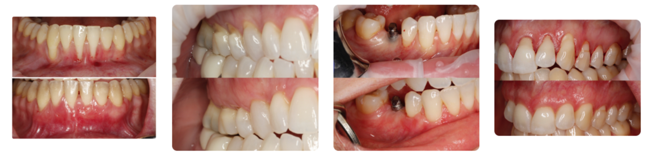
This course is designed for clinicians who wish to sharpen and expand their surgical skillset to predictably and consistently improve long term implant success through optimization of the hard & soft tissue from the moment the tooth is being extracted, through implant site preparation.
The full spectrum of hard and soft tissue optimization surgical techniques will be discussed and presented to capitalize on the naturally occurring wound healing physiology of the fresh socket to maximize bone growth and soft tissue management.
Course Objectives:
At the completion of this course, attendees will be able to:
- Comprehend the indications, guidelines and surgical steps for different methods of bone grafting.
- Have a better understanding of the anatomy and the biology of wound healing and bone graft maturation.
- Improve their skills in diagnosis, prevention, and management of complications associated with hard and soft tissue grafting.
Â
REGISTER NOW!
Afternoon Session:
Management of Periodontal Disease and Mucogingival Defects: Implementing an Efficient Periodontal Program into Your General Dentistry Practice!
Â
Course Topics:
- The new classification of periodontal and peri-implant diseases.
- Etiologic and contributory factors to initiation and progression of the disease.
- Periodontal prognostication.
- Suggested decision-making process for when might be the recommended time to treat and when to extract teeth.
- The association between periodontal diseases and systemic health/conditions.
- Non-surgical and surgical periodontal therapy and decide what treatment to offer based on your diagnosis.
- Surgical periodontal therapies: resection versus regeneration.
- Soft Tissue Technique Selection and Workflow Algorithm.
- Why sometimes treatments do not give us desirable results and how to set the right expectation for the patient.
Course Objectives:
At the completion of this course, attendees will be able to:
- Diagnose utilizing the new periodontal classification system
- Confidently determine the types of cases to treat in their practice and which cases they may want to refer to their local specialist.
- Establish with confidence the diagnose and management of soft tissue problems around teeth and dental implants
Â
REGISTER NOW!
Â
Dr. Sara Behmanesh
(Board-Certified Periodontist)
Dr. Behmanesh received her certificate in Periodontology and a Master of Science in Dentistry in 2011 from the University of Maryland. She joined McGill University in 2014 as a clinical instructor, faculty lecturer and course director in the Department of Periodontics. Dr. Behmanesh has received the prestigious American Academy of Periodontology Award for Excellence in Teaching.
Dr. Behmanesh is a Diplomate of the American Board of Periodontology and an active member of the International Team of Implantology. Dr. Behmanesh has a passion for teaching and is involved in hands-on Continuing Dental Education courses teaching advanced surgical techniques.
Dr. Omid Kiarash
(Board-Certified Periodontist)
Dr. Kiarash is the former Director of the Department of Periodontics, Faculty of Dentistry at McGill University. Dr. Kiarash has received the prestigious American Academy of Periodontology Award for Excellence in Teaching. He is also the founder of "Zeeba Advanced Dental Education".Â
Dr.Kiarash has presented at many national and international conferences. He regularly teaches live hands-on courses to other dentists on the use of more advanced surgical techniques and protocols for the management of advanced periodontal conditions as well as the surgical placement of dental implants.
What Dentists Are Saying About the Perio Bootcamp
Real feedback from dentists like you
“Very informative, enlightening, and realistic. The cases and explanations made it easy to apply this to real practice.”
- Dr. Cesar R., MarylandÂ
“In-depth, clearly presented, and extremely practical. One of the most organized and thorough CE courses I’ve taken.”
- Dr. Allan M., DC Metro
“Direct, to the point, and very educational. No fluff—just high-yield clinical information you can actually use.”
- Dr. David Z., Virginia
“Excellent content. Very demonstrative with real cases and highly interactive. Great use of time.”
-Â Dr. Catalina M., New York
GET STARTED TODAY!
The Perio Bootcamp
Still on the fence?
Here’s what past attendees said:
- In-depth, practical, and extremely well organized.”
- “Very direct, very educational, and very relevant to daily practice.”
- “Great information and very thorough.”
- “Highly interactive and clinically useful.”
 Live-Virtual Itinerary
Login & Registration:
8:30am - 9:00am (Easter Time)
Virtual Training:
9:00am - 3:00pm (Easter Time)
Zoom Link:
Will be emailed to you 24hrs before the event.
6 CE hours (didactic lecture)
Designed for Dentists Who Want Practical, Real-World Perio Skills
This isn’t theory-heavy CE. It’s focused, clinical, and built for real practice.
- “Well organized and a lot of relevant information.”- “Very demonstrative with all the cases.”
- “Very interactive and easy to follow.”
- “One of the most useful CE courses I’ve taken.”
Â
Â
Refund & Cancellation Policy
50% refund will be issued up to 31 days prior to course start date
No refund will be issued as of 30 days prior to course
